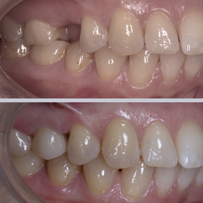
Одиночная имплантация в зоне улыбки

Проблема, с которой обратился пациент

Пациент обратился с отсутствием одного из боковых зубов верхней челюсти (зона премоляра), что вызывало выраженный эстетический дискомфорт и нарушение жевательной функции. При осмотре отмечался дефект в линии улыбки. Отсутствие зуба приводило также к распределению жевательной нагрузки и субъективным ощущениям дискомфорта при приеме пищи. Пациент выразил желание восстановить утраченный зуб с учетом как эстетики, так и функции.

Лечение

Проведена установка дентального импланта в область отсутствующего зуба после оценки состояния костной ткани. Костный объем оказался достаточным, что позволило избежать дополнительных вмешательств (в частности, костной пластики). Установка импланта проведена с соблюдением анатомических ориентиров и минимальной травматики для окружающих тканей.

После успешной остеоинтеграции — процесса, при котором имплантат прочно срастается с костной тканью (в данном случае это заняло около 4 месяцев) — была проведена установка индивидуальной циркониевой коронки. Коронка изготовлена с учетом цвета и формы соседних зубов, что позволило добиться полной визуальной интеграции в зубной ряд.

Итог

Восстановлена утраченная функция жевания, достигнут высокоэстетичный результат, коронка визуально не отличается от естественных зубов. Пациент получил комфортное, стабильное и долговременное решение, не требующее дополнительных вмешательств со стороны других зубов (в отличие от мостовидных протезов).

Получите экспертную консультацию в клинике MINIMALÍST
Путь к красивой и здоровой улыбке начинается с консультации специалиста. Запишитесь на приём сейчас.
Если у вас остались вопросы, позвоните по телефону +7 (812) 701-00-33
Хочу такой же результат!
Оставьте заявку, чтобы записаться на консультацию к специалисту клиники MINIMALÍST или позвоните по телефону +7 (812) 701-00-33
Нажимая на кнопку «Отправить», вы даёте согласие на обработку своих персональных данных

Что пациенты говорят о нас

Хорошее место 2025
любимые организации пользователей Яндекс карт
Консультировался у Анны Карленовны по поводу элайнеров. Меня впечатлило 3D-моделирование: она показала, как будут двигаться зубы, и как изменится улыбка в итоге. Никакого давления, все взвешенно. Пока думаю, но врачу доверяю полностью. В клинике приятная обстановка, все модно и стильно, вкусный кофе на ресепшене, приятные девушки-администраторы.
​Алексей Михайлов
12.02.2026
Ходила сюда на чистку зубов. Что особенно интересно: услугу превращают в СПА-процедуру. Надевают эти теплые перчатки с парафином, укрывают пледом и сразу совершенно другие впечатления от визита! Врач показала, сколько камня было на внутренней стороне зубов, я в шоке. После чистки зубы такие гладкие, тон выровнялся и стал светлее, прямо не нарадуюсь. Теперь буду ходить каждые полгода, как она и советует.
Лиза
11.02.2026
Была в клинике на приёме у Мартиросян А. К. и у Тибилова Д. Б., консультировалась по вопросам имплантации. Мне очень понравился подход: пояснили максимально корректно и доступным языком, что мне необходимо и для чего, составлен грамотный поэтапный план лечения с адекватными ценами - ничего лишнего в нём нет и мне понятно, что и зачем мы будем делать. Спасибо вам за профессионализм и за доброжелательность, в клинике находиться приятно и чувствуется, что моё лечение началось и продолжится в максимально комфортных условиях.
Дарья Смирнова
02.02.2026
Водила дочку на первый осмотр. Валерия Сергеевна - чудо! Показала все, дала подержать «зеркальце». Дочка сидела с открытым ртом и не слезинки! Ушли с полезным леденцом и твердым решением, что теперь к этому врачу и будем ходить.
​Anna Бибикова
30.01.2026
Вежливый персонал, отличные комплексные предложения на установку брекетов. Посещаю клинику уже целый год. Все на высшем уровне
Екатерина Шаймуратова
10.01.2026
Давид Батрович настоящий профессионал. Отлично проконсультировал, ответил на все вопросы и очень качественно и безболезненно удалил зуб мудрости. Обязательно приду ещё!
Максим Шабеллов
27.12.2025
Консультировался по имплантации у нескольких хирургов. К Тибилову Давиду Батровичу попал не сразу - запись плотная. Но когда пришел, понял, почему. Такого подробного плана лечения с 3D-снимками мне никто не предлагал. Да, операцию пришлось ждать 2 недели, но я был спокоен - знал, что попаду к настоящему профессионалу. После установки импланта чувствую себя отлично, зажило все быстро, жду установки коронки.
Семен В
24.12.2025
Записалась с сыном на лечение кариеса к Осиной Валерии Сергеевне. Ребенок у меня тревожный и как она с ним работала! Нашла общий язык, все спокойно объяснила,показала инструменты. Сын вообще не нервничал. В конце выдала ему чупа-чупс без сахара . Девочки-администраторы - тоже молодцы ,подсказали мне как пройти с парковки , предложили кофе. Полная противоположность нашему прошлому опыту . Теперь только сюда и будем ходить .
​Стася Ерохина
23.12.2025
Всем настоятельно рекомендую данную клинику. Внутри чистота и уют, приятная музыка. Заботятся сразу, как только заходишь внутрь) Был у Светланы Сергеевны на чистке зубов - отличный специалист, который делает свою работу максимально аккуратно и качественно, все объясняет четко, дает рекомендации и так далее. Процедура прошла безболезненно даже в моем запущенном случае) Большое спасибо!
Аркадий Александров
12.12.2025
Удаляли зуб. Врач всё сделал быстро и чётко. После болело, конечно, но это ожидаемо. Звонили на следующий день, уточнили состояние. Чувствуется реальная забота о пациентах, а не формальность.
​Татьяна Мухина
21.11.2025
У меня была полуразрушенная верхняя двойка, решила поставить коронку. Записалась в клинику. На консультации мне врач объяснил все этапы, сколько будет стоить. Сначала вылечили зуб, потом обточили и поставили коронку. Я ее вообще не чувствую, стоит как родной зуб. И по цвету не отличается от соседних зубов. Очень довольна результатом. Спасибо за улыбку!
​Татьяна Звонарева
20.11.2025
Нужно было ставить коронку на давно пролеченный зуб. Обратилась к Армине Карленовне. Консультация была очень детальной, мне все разложили по полочкам: какие варианты есть, чем отличаются, сколько по времени займет. Сама установка прошла в два приема. На первом обточили зуб под микроскопом это чтобы ничего лишнего не сточить и свой зуб максимально сохранить. Пока делали, меня укрыли пледом, это мило. Через неделю ставили саму коронку. Результат отличный, зуб ощущается как свой. Рекомендую.
​Ирина Шейк
19.11.2025
Пришли сюда за своим врачом. По домашнему уютная клиника. Вежливый персонал, комфортно себя чувствуешь, находясь здесь. Дают подробную памятку, как найти клинику и напоминают о записи.
karuda
16.11.2025
Делала гигиеническую чистку зубов у доктора Семеновой С.С. - осталась очень довольна процессом и результатом, деликатный аккуратный подход, улыбка белоснежная, большая благодарность клинике и докторам!
Анна Родионова
13.11.2025
Рекомендую. Удалял непрорезавшийся зуб 8 зуб у Давида Батровича. Очень переживал, но все прошло отлично. Длилось долго, но без боли. После процедуры дали сок, что очень кстати. На следующий день позвонили, спросили о самочувствии. Приятная забота
Денис Кремнёв
23.10.2025
При лечении выявили небольшой дефект десны, она немного опустилась. Записали к Тибилову Давиду. Процедура малоприятная, конечно, но он делал все очень аккуратно и быстро. После операции было не очень комфортно, но на следующий день мне позвонили, спросили о самочувствии, дали рекомендации. Это очень поддержало, чувствуешь, что о тебе помнят и после визита. Десна зажила быстро, теперь все выглядит аккуратно и эстетично. В целом - я более чем довольна. Давид - специалист от бога.
​Ирина Богданова
23.10.2025
Лечил зубы и ставил коронку на зуб. Очень уютная и современная клиника. Врачи - проффесионалы, бережно и качественно проводят лечение, не навязывают лишнее, все подробно объясняют перед началом лечения. Рекомендую клинику и врачей.
арам асликян
22.10.2025
Лечил зубы и ставил коронку на зуб. Очень уютная и современная клиника. Врачи - проффесионалы, бережно и качественно проводят лечение, не навязывают лишнее, все подробно объясняют перед началом лечения. Рекомендую клинику и врачей.
Арам Асликян
22.10.2025
В марте сыну поставили пластинку на зубы у врача Мартиросян А. Он уже устал от ношения, но она на каждом приёме его поддерживает и убеждает продолжать лечение. Я вижу изменения! Цена кусается, но мы довольны.
Алёна Казанцева
21.10.2025
Стоматологию эту мы выбрали по ближайшим рядом к дому, но здесь часы приёма были менее загружены и цены более адекватные. К тому же на сайте информация об услугах и врачах намного подробнее, чем у других клиник, что вызывает большее доверие. Водили ребёнку лечить кариес. Что примечательно, он вообще не боялся, Хотя на него это не похоже. И это благодаря стоматологу Валерие Сергеевне, которая с лёгкостью расположила его к себе и без лишнего дискомфорта вылечила его зуб. Спасибо ей.
Сергей Юрский
21.10.2025
Замечательная клиника с отличным, высококвалифицированным персоналом! Особая благодарность Армине Карленовне, Дарье Анатольевне, медсестре Валерии! Желаю всех благ и процветания! Рекомендую клинику от души!
Елена
27.09.2025
В стоматологию Минималист попала по рекомендации, я давно искала такую клинику, Максимум внимания к пациенту и профессионализма, а так же много современного оборудования. Лечение прошло четко, комфортно без боли и навязывания лишних процедур. Анестезия подействовала идеально.
АЛЕНА Олейникова
24.09.2025
Пришла на консультацию по поводу отбеливания. Честно, боялась, что будут сразу впаривать самую дорогую процедуру. Но нет. Врач, которая меня консультировала очень подробно все рассказала, показала примеры работ, объяснила уход после процедуры. Но! Сказала, что мне сначала нужно сделать профессиональную гигиену, и посмотреть, будет ли меня устраивать естественный цвет зубов после нее. И оказалась права! После гигиены у гигиениста зубы стали на тон светлее, и я поняла, что в отбеливании уже не нуждаюсь. Меня это дико удивило и обрадовало - врач действовала в моих интересах, а не в интересах клиники. Это дорогого стоит. Теперь я постоянный клиент.
​Елена Федорова
23.09.2025
Записалась с болью в зубе, время нашли быстро. Валерия Сергеевна провела лечение, работала в увеличительных очках, все сделала аккуратно. По общению видно, что работает давно и опыт есть. Пломба идеально села. Дороже, чем в зубной поликлинике, но комфорт и качество того стоят.
​Мария Комлева
22.09.2025
Давно хотела исправить прикус и решилась на брекеты. В клинике Minimalist получила подробную консультацию врача-ортодонта. Мне все подробно рассказали о разных системах брекетов, показали фотографии результатов лечения. В итоге выбрала керамические брекеты Damon Clear. Очень понравился современный подход к лечению и внимательное отношение к пациентам. Еще заметила, что в уборной все сенсорное – уделяют внимание даже таким мелочам, как антисептика. Рекомендую.
Наталья Белохвостикова
27.08.2025
Посетил клинику Minimalist для профессиональной чистки зубов. Очень понравилась атмосфера, как будто в СПА попал! Администратор Камила была очень внимательна, предложила кофе с безлактозными сливками (приятно, что заботятся о тех, у кого есть ограничения в питании). Во время процедуры мне даже предложили парафиновые перчатки для увлажнения рук, пока доктор работал. Сама чистка прошла очень комфортно. В общем, остался доволен высокими стандартами лечения и обслуживания в этой клинике.
Владислав Калинин
25.08.2025
Была на консультации у Армине Карленовны по поводу виниров. Врач произвела впечатление знающего специалиста, все подробно рассказала о возможных вариантах, плюсах и минусах. Никакого давления, только информация. Сама клиника очень приятная, стильный интерьер и внимательные администраторы. Еще и кофе вкусный предложили, пока ждала прием. В общем, рекомендую!
Наталья Беккер
19.08.2025
У меня были сильные проблемы с зубами с детства, к тридцати годам не было четыре зуба и несколько было плохих. Решила поставить зубы и обратилась в эту клинику, мне всё подробно рассказали и объяснили, сказали сколько будет стоить. Зубы сделали хорошо, поставили импланты с коронками, мои зубы отбелили и теперь у меня красивая белоснежная улыбка. Спасибо за вашу хорошую работу.
Лидия Новик
17.08.2025
Врачи профессионалы! Внимательно и доступно всё объясняют! Дети не боятся лечить зубы!
Лариса С.
21.07.2025
Лечила зубы в "Минималист" — это лучший стоматологический опыт в моей жизни! Клиника с первых минут удивляет атмосферой: никакого больничного стресса, вместо этого — стильный лофт с панорамными окнами и приятной музыкой. Доктор за один визит безупречно вылечил сложный кариес: работал с микроскопом, использовал инновационную анестезию (вообще не чувствовала укол!), а световую пломбу подобрал точно под цвет эмали. Цены фиксированные — 5 900 ₽ за всё (в других клиниках смотрели от 8 000). Особенно тронули мелочи: предложили выбрать музыкальный плейлист, дали солнцезащитные очки от лампы, а после лечения подарили набор органической пасты.
Татьянка Петрова-Воронец
19.07.2025
Рад, что попал в руки профессионалов! Вылечили все зубы, поставили несколько временных коронок, теперь будем планировать заказ элайнеров. Путь долгий конечно, но зато надежный)
Виталий Кондрашев
19.07.2025
Когда опухла правая щека, пришлось срочно искать стоматологию, так как в государственную поликлинику запись к стоматологу на недели вперёд. Выбрал из ближайших эту. Тут была самая быстрая по времени запись, да и цены более щадящие для Питера. Приехал в стоматологию, меня приняли даже чуть раньше по времени. В тот же день провели всё необходимое лечение и вылечили зуб, дали рекомендации по дальнейшему уходу за ним и я уехал домой. Я доволен, что так оперативно удалось всё сделать.
Роман Каваев
16.07.2025
Стоматологию эту мы выбрали по ближайшим рядом к дому, но здесь часы приёма были менее загружены и цены более адекватные. К тому же на сайте информация об услугах и врачах намного подробнее, чем у других клиник, что вызывает большее доверие. Водили ребёнку лечить кариес. Что примечательно, он вообще не боялся, хотя на него это не похоже. И это благодаря стоматологу Валерие Сергеевне, которая с лёгкостью расположила его к себе и без лишнего дискомфорта вылечила его зуб. Спасибо ей.
Сергей Юрский
15.07.2025
Благодарю коллектив клиники Минималист за мою улыбку! Весь персонал от администраторов и ассистентов до врачей очень вежливый, тактичный, высоко профессиональный! У меня была сложная ситуация с зубами, записалась сюда по рекомендации и не пожалела ни дня. Лечение зубов, операция у хирурга, чистка прошли комфортно и безболезненно.
Спасибо, что вы есть!
С уважением, Даша Рогова
Дарья Рогова
28.06.2025
Впервые в жизни я чуть не уснула в стоматологическом кресле, настолько комфортно мне было лечить зубы у них, что я полностью доверилась стоматологу без всякого страха. У них современное оборудование, всё чистенькое, врачи и персонал по доброму относятся к тебе. Так что если кому-то страшно лечить зубы, то вам обязательно нужно сюда. Здесь вы об этом волноваться не будете. К тому же тут и цены не кусаются.
Лида
21.06.2025
Современная клиника со стерильными кабинетами и современным оборудованием, дружелюбным персоналом, аккуратными и внимательными стоматологами. Именно поэтому я лечу здесь свои зубы с момента открытия. На личном опыте убедился в качестве лечения и теперь уже полностью доверяю им
Антон Кобзев
16.06.2025
Давно хотела исправить прикус и решилась на брекеты. В клинике Minimalist получила подробную консультацию врача-ортодонта. Мне все подробно рассказали о разных системах брекетов, показали фотографии результатов лечения. В итоге выбрала керамические брекеты Damon Clear. Очень понравился современный подход к лечению и внимательное отношение к пациентам. Еще заметила, что в уборной все сенсорное – уделяют внимание даже таким мелочам, как антисептика. Рекомендую.
Наталья Белохвостикова
16.06.2025
Пришел с острой болью, зуб разболелся среди ночи. Записался на вечер того же дня, еле дождался. В клинике было спокойно и тихо, никакой суеты. Девушка на ресепшене сразу поняла, что мне не до чая, оформила все быстро. Лечила меня Валерия Сергеевна. Очень деликатный врач. Сделала анестезию, ждала пока подействует, не торопилась. Работала в каких-то увеличительных очках (бинокуляры, кажется), это внушает доверие - видно, что ничего не пропустит. Само лечение прошло безболезненно, я вроде бы даже немного вздремнул. После лечения врач показала фото моего зуба до и после - вот кариес был жуткий, а теперь аккуратная пломба и не отличить от родного зуба. Теперь только сюда.
​Максим Трунов
16.06.2025
Хочу поблагодарить Анну Карленовну за лечение на брекет-системе. Наблюдалась я и лечилась у неё более года и наконец-то нам удалось исправить прикус и выравнять зубы. Она большая молодец, по-настоящему была озабочена моей проблемой. И что не менее приятно, клиника предоставила мне скидку в 7%. Классно!
Лариса Никитина
11.06.2025
Все проблемные зубы вылечил за неделю себе в этой стоматологии. На лечение мне предоставили даже скидку, пусть и небольшую, но всё равно приятная экономия. По качеству лечения могу отозваться положительно, вылечили зубы на отлично. Ничего теперь меня по этому поводу не беспокоит. Стоматологию могу рекомендовать теперь по личному опыту
Сергей Макаренко
03.06.2025
С острой зубной болью приняли меня без очереди. Минут десять заняло всё лечение. Зуб больше не болит и не беспокоит меня. Мне хочется сказать спасибо сотрудникам клиники и в отдельности стоматологу Валерие Сергеевне, которая меня лечила, за то, что помогли мне и избавили меня от этой жуткой боли.
P.S. На удивление, цена на лечение зуба оказалось не такой уж и большой. Две тысячи с небольшим.
Иван Игорев
29.05.2025
Хотела бы поблагодарить стоматолога Дарью Анатольевну за лечение кариеса. Она без обезболивающего (у меня на него аллергия) вылечила мой зуб без всякого дискомфорта, совсем не больно было. А я уже настраивалась на самое худшее, пока ехала в клинику. Она большая профессионал и молодец.
Анна Перова
24.05.2025
Стоматология с индивидуальным подходом к пациенту. Сначала я сюда на консультацию приезжал, мне полностью объяснили, что и как нужно мне лечить и как после будет происходить процесс протезирования. Все больные зубы мне по итогу вылечили, а потом уже поставили протезы. По цене нормально вышло, даже скидку дали в десять процентов. Хотелось бы поблагодарить их за мою новую и красивую улыбку.
Виктор Тонов
13.05.2025
Порекомендовали клинику знакомые, искала опытного врача, чтобы поставить брекеты. От метро быстро все нашла, очень подробно прислали маршрут при записи. Встретила внимательная девушка на ресепшене. Консультация прошла плодотворно, я давно готовилась, КТ взяла с собой, хотя в клинике скоро тоже будет свой аппарат. Вот уже через 2 недели устанавливаю брекеты.
Виктория Е.
05.05.2025
Лечил несколько зубов у Алексеевой Д.А. и поставил 2 имплантата с коронками. Все понравилось, в клинике все продумано до мелочей.
Владислав М.
03.05.2025
В этой клинике делала протезирование зубов на имплантах. Сам процесс описывать я не буду, так как долго. Скажу лишь, что я себе всё это представляла куда хуже. На деле же, всё прошло не так уж и больно и зубной имплант прижился как родной, а коронка полностью соответствует по цветовому оттенку остального ряда. Также было приятно получить скидку в 10% и вместо 71 700 рублей, я заплатила 64 500р. Скидка не вау какая большая, но всё же какая-никакая экономия. Спасибо.
Маша Горская
30.04.2025
Стоматология мне понравилась и отношение персонала и врача-стоматолога ко мне. Общаются вежливо, лишних услуг не навязывают. Заезжала на профессиональную чистку зубов, результатом осталась более, чем довольна. Налёт удалили, эмаль не повредили. По стоимости вышло 7100 рублей, что не так уж и дорого для частной клиники. Отдельное спасибо стоматологу Дарье Анатольевне, которая делала мне эту чистку, за заботливое и профессиональное отношение.
​Алина Морозова
29.04.2025
Благодаря отзывчивости персонала клиники мне оказали помощь качественно и быстро. Была проездом в СПб, отклеился ретейнер. Администраторы нашли время к ортодонту день в день и можно сказать спасли меня перед важной встречей.
Элина Куприянова
20.04.2025
Лечил в этой клинике себе кариес на "четвёрке", очень переживал, так как боюсь стоматологов сильно. Но лечить надо и поэтому я записался на приём. Когда приехал, приняли меня строго по записи. Вкололи обезболивающее, убрали кариес, прочистили канал, поставили пломбу. За всё время никакой боли или дискомфорта я не ощутил. За что спасибо стоматологу, у неё золотые руки. Зуб больше меня не беспокоит, эстетически выглядит как родной просто. Это был мой первый поход к стоматологу, когда я чувствовал себя комфортно.
​Никита Макаров
17.04.2025
Внимательные доктора и администраторы. Лечение зубов всегда проходит без боли и комфортно. Стоимость известна заранее перед началом лечения, и она не меняется после, лишние услуги не навязывают.
Serg
08.04.2025
Записался на установку ретейнера, т к предыдущий скололся. Предложили ближайшее время, ретейнер поменяли быстро и аккуратно. Впечатления от клиники очень приятные. Записался дальше на лечение зубов.
Ximarik
08.04.2025
Очень понравилась клиника. Девочки администраторы подсказали дорогу, предварительно сказали по стоимости лечения, но сказали, что окончатеотно скажет доктор при осмотре. В клинике очень прияная обстановка. Раслабляющая музыка, чай/кофе очень раслабляет перед посещением врача. Сам прием прошёл очень хорошо. Доктор объяснил мне все необходимые этапы лечения. И составил план лечения. Посещением очень давольна!
Валерия Белохатюк
08.04.2025
Недавно посетила клинику Минималист которая находится в моем доме. Сделала отбеливание и гигиену . Осталась довольна и ценами и качаством ! Рекомендую .
Marina D.
05.04.2025
Шикарная новая клиника и лучший врач! Армине Карленовна настолько подробно все рассказала, что впервые у меня не осталось никаких вопросов после приема у врача. Буду лечить зубы и ставить виниры только здесь! Желаю клинике процветания! Вы лучшие!
Ирина
03.04.2025
Спасибо большое за мою улыбку врачам Армине Карленовне и Дарье Анатольевне! Я обратилась в клинику по рекомендации своей сестры, которая ранее проходила здесь лечение на брекетах. Все приемы были очень комфортными и безболезненными. Приятно, что о цене сообщают заранее и нет никаких финансовых "сюрпризов".
Ольга Доброва
02.04.2025
Замечательная клиника во всех аспектах, уютная, стильная, все продумано до мелочей, современное оборудование, очень внимательный и трепетный подход со стороны врачей, после лечения испытываешь лишь положительные эмоции
Давид Т.
02.04.2025
Внимательный и добросовестный персонал, уютное и красивое место. Спасибо большое за оказанную мед.услугу.
Жыпаргул Кудайбердиева
02.04.2025
Клиника, в которой продумано все до мелочей - от общения с администраторами до лечения у врачей профессионалов. Здесь вы почувствуете себя уютно как в холле, так и в удобном кресле на приеме у врача. Главная ценность - качественное и безопасное лечение.
Валерия Осина
17.03.2025
У меня болел зуб и он реагировал на холодное, поэтому я решил обратиться в стоматологию. Пришел сюда по совету друзей. Записался, всё нормально. Во время диагностики выяснили, что нужно установить коронку, чтобы избежать дальнейшего разрушения зуба. Сначала сомневался, но потом решил, что лучше будет сделать всё правильно. Пролечил там же и записался на установку к Армине Мартиросян, и могу сказать, что она всё сделала очень аккуратно и почти без дискомфорта. Самое главное — смогли спасти зуб, и я не пожалел о вложенных средствах. Спасибо большое! Рекомендую эту стоматологию!
​Михаил Ворновой
12.03.2025
Цена и качество услуг соответствуют, я полностью доволен результатом. Выражаю огромную благодарность всему персоналу клиники и рекомендую всем обращаться сюда!
Антон Д.
10.03.2025
Заболел зуб и я решила долго не затягивать, сходить к стоматологу. Так как работаю в Московском районе, а в соседнем здании - в ЖК Орлов расположена стоматология, то решила записаться сюда. Интерьер клиники Минималист понравился, чистенько, лаконично, стильно. Администраторы отзывчивые, внимательные, записали в этот же день, так как зуб болел сильно. Само лечение прошло безболезненно, врач грамотный - Алексеева Дарья Анатольевна, сделала всё аккуратно, даже теплым пледом накрыла))
Анжелика Вирилиаль
13.02.2025
Хочу выразить благодарность стоматологу-терапевту Алексеевой Дарье Анатольевне и ассистенту Людмиле за профессиональный и качественный подход во время процедуры профессиональной гигиены полости рта. В своей жизни я делала гигиену полости несколько раз, но не в этой клинике , и такого восхитительного результата никогда не получалось. Красивая локация клиники в 4-х минутах от м.Московская , приветливый персонал , отличное оснащение входной группы , зоны ожидания и самого кабинета. Ваша команда — это пример профессионализма, доброжелательности и высокого класса обслуживания! Благодарю!
Ольга
02.02.2025
Входя в стоматологическую клинику приятно удивляешься на сколько продуман интерьер. Продумано всё до мелочей. Мне как пациенту это особенно приятно, значит руководители думают о тех кто к ним приходит, и хотят чтоб им было комфортно! На ресепшене встречают дружелюбные администраторы которые предлагают кофе/чай и воду в бутылочках с газом и без. До этого ни где не встречала такого. Очень удобно, можно взять с собой в кабинет или в дорогу. Доктора профессионалы своего дела. Подходят к вопросу о восстановлении зубов комплексно, приятно что не надо ни куда бежать, все специалисты есть в клинике! Однозначно рекомендую эту клинику и специалистов. Качественный подход к лечению зубов и приятная обстановка располагает чтоб остаться здесь и быть постоянным пациентом!
Валерия Б.
25.01.2025
Зубную клинику на московской порекомендовал напарник по работе в разговоре о том что я наконец набрался смелости заняться зубами. Решил последовать его совету и остановить выбор именно на этой клинике. Решение оказалось верным. Клиника оказалась современной, ничего похожего с тем что было в моем детстве, страхи мои оказались напрасны, даже удаление зубов и то безболезненно было, и практически мгновенно, хотя здесь как понимаю заслуга не только клиники, а и врача. Моим врачом был хирург Тибилов Давид Батрович. Он собственно и занимался в основном моими зубами, это удаление зубов, ну и в последущем имплантация зубов, которые делал взамен удалённых. Сделал классно, зубы не отличить от родных, за три месяца что с ими не один я это отметил.
Александр Л.
22.01.2025
Я постоянный пациент приезжаю из Москвы. Всем своим знакомым рекомендую эту клинику. Сервис предоставляемых услуг самый высокий. Цена и качество соответствуют. Прохожу лечение ортодонтическое (брекетов), установку коронок Хотел бы поблагодарить Анну Карленовну за ортодонтическое лечение, Армине Карленовну(глав врач) и многих других специалистов.
Григорий Багирян
19.01.2025
Пришла на консультацию по имплантации по акции, узнала о клинике от знакомых. Врач хирург всё подробно объяснил, сделал 3д обследование, показал похожие примеры работ. Спасибо за такой внимательный подход! Записалась на чистку и на имплантацию)
Светлана М
03.01.2025
Пришла по рекомендации друзей к ортопеду с проблемной коронкой. От Армине Карленовны Мартиросян получила подробную консультацию о состоянии коронки и план дальнейших действий. Если вам нужен внимательный и толковый врач, то я рекомендую только эту клинику. Еще хотелось бы отметить красивый интерьер клиники, доброжелательность администратора и ассистента врача.
Ольга Б.
30.12.2024
Водила дочку (5 лет) первый раз на осмотр, боялась истерики, потому что у подруги ребенок орал как резаный. Нашла эту клинику по отзывам) при входе пахнет приятным ароматом, а не как обычно в поликлиниках. Администратор дала сок и показала нам диванчик, пока ждали в холле включили мультики ☺️ Попали к Валерии Сергеевне. Чудесный врач! Так спокойно и по доброму все объяснила, показывала инструменты, дала потрогать. После приема получила полезный чупа-чупа, сейчас постоянно спрашивает когда пойдем опять к тете зубы смотреть зубки. Минус один я сама так расслабилась, что тоже захотела кофе, но сначала отказалась, а потом постеснялась. В следующий раз точно попрошу) Терерь наша семья только здесь !
Анжелика Матвеева
23.10.2024

Как нас найти?

Московский проспект 183-185
ЖК «Граф Орлов», м. Московская
ежедневно, с 08:00 до 21:00
м. Московская
5 минут пешком (340 метров)
Открыть контакты Проложить маршрут