Тибилов Давид Батрович

Опыт 7 лет

Записаться на приём
первичный приём
от 1 800 ₽
Тибилов <br> Давид <br> Батрович
4.8
Рейтинг врача на независимых площадках

Образование

  • 2019-2021 гг. Ординатура по специальности «Стоматология хирургическая» Военно-медицинская академия имени С.М. Кирова. Диплом №101524 115935 от 01.07.2021 г. Первичная специализированная аккредитация от 13.10.2021 г.
  • 2014-2019 гг. Северо-Осетинская государственная медицинская академия, диплом №101505 0591492

Дипломы, сертификаты

Биография

Я — Давид Батрович Тибилов, стоматолог-хирург, имплантолог и пародонтолог. В моей работе важны точность, аккуратность и максимальный комфорт пациента. Я стремлюсь к совершенству, сочетая современные технологии с индивидуальным подходом и глубокими знаниями в области хирургической стоматологии.

Для меня важно быть не просто врачом, а уверенным и гибким специалистом. Я регулярно изучаю профессиональные статьи, посещаю мастер-классы и конференции, чтобы всегда быть в курсе последних достижений стоматологии. Архитектура, литература и кулинария - мои увлечения, которые помогают развивать творческое мышление и внимание к деталям.

Я люблю природу и туристические походы, которые укрепляют выносливость и закаляют характер. Спорт и активный образ жизни помогают сохранять концентрацию и высокую работоспособность в практике. Для меня нет мелочей, только цельный взгляд на здоровье, эстетику и качество жизни пациента.

Записаться на прием
Получите экспертную консультацию в клинике MINIMALÍST
Путь к красивой и здоровой улыбке начинается с консультации специалиста. Запишитесь на приём сейчас.
Если у вас остались вопросы, позвоните по телефону +7 (812) 701-00-33

Что пациенты говорят о враче

Хорошее место 2025
любимые организации пользователей Яндекс карт
Давид Батрович настоящий профессионал. Отлично проконсультировал, ответил на все вопросы и очень качественно и безболезненно удалил зуб мудрости. Обязательно приду ещё!
Максим Шабеллов
27.12.2025
Консультировался по имплантации у нескольких хирургов. К Тибилову Давиду Батровичу попал не сразу - запись плотная. Но когда пришел, понял, почему. Такого подробного плана лечения с 3D-снимками мне никто не предлагал. Да, операцию пришлось ждать 2 недели, но я был спокоен - знал, что попаду к настоящему профессионалу. После установки импланта чувствую себя отлично, зажило все быстро, жду установки коронки.
Семен В
24.12.2025
Рекомендую. Удалял непрорезавшийся зуб 8 зуб у Давида Батровича. Очень переживал, но все прошло отлично. Длилось долго, но без боли. После процедуры дали сок, что очень кстати. На следующий день позвонили, спросили о самочувствии. Приятная забота
Денис Кремнёв
23.10.2025
При лечении выявили небольшой дефект десны, она немного опустилась. Записали к Тибилову Давиду. Процедура малоприятная, конечно, но он делал все очень аккуратно и быстро. После операции было не очень комфортно, но на следующий день мне позвонили, спросили о самочувствии, дали рекомендации. Это очень поддержало, чувствуешь, что о тебе помнят и после визита. Десна зажила быстро, теперь все выглядит аккуратно и эстетично. В целом - я более чем довольна. Давид - специалист от бога.
​Ирина Богданова
23.10.2025
Зубную клинику на московской порекомендовал напарник по работе в разговоре о том что я наконец набрался смелости заняться зубами. Решил последовать его совету и остановить выбор именно на этой клинике. Решение оказалось верным. Клиника оказалась современной, ничего похожего с тем что было в моем детстве, страхи мои оказались напрасны, даже удаление зубов и то безболезненно было, и практически мгновенно, хотя здесь как понимаю заслуга не только клиники, а и врача. Моим врачом был хирург Тибилов Давид Батрович. Он собственно и занимался в основном моими зубами, это удаление зубов, ну и в последущем имплантация зубов, которые делал взамен удалённых. Сделал классно, зубы не отличить от родных, за три месяца что с ими не один я это отметил.
Александр Л.
22.01.2025

Наши врачи

Мартиросян  Армине  Карленовна
Мартиросян
Армине
Карленовна
Ведущий стоматолог-ортопед, главный врач
Опыт 10 лет
Мартиросян  Анна  Карленовна
Мартиросян
Анна
Карленовна
Ведущий ортодонт, детский ортодонт
Опыт 14 лет
Осина-Ободова  Валерия  Сергеевна
Осина-Ободова
Валерия
Сергеевна
Ведущий стоматолог-терапевт, эндодонтист, детский стоматолог
Опыт 24 года
Семенова Светлана Сергеевна
Семенова
Светлана
Сергеевна
Гигиенист, специалист по отбеливанию зубов
Опыт 10 лет
Окунева  Наталья  Андреевна
Окунева
Наталья
Андреевна
Стоматолог-терапевт, эндодонтист
Опыт 5 лет

Примеры работ

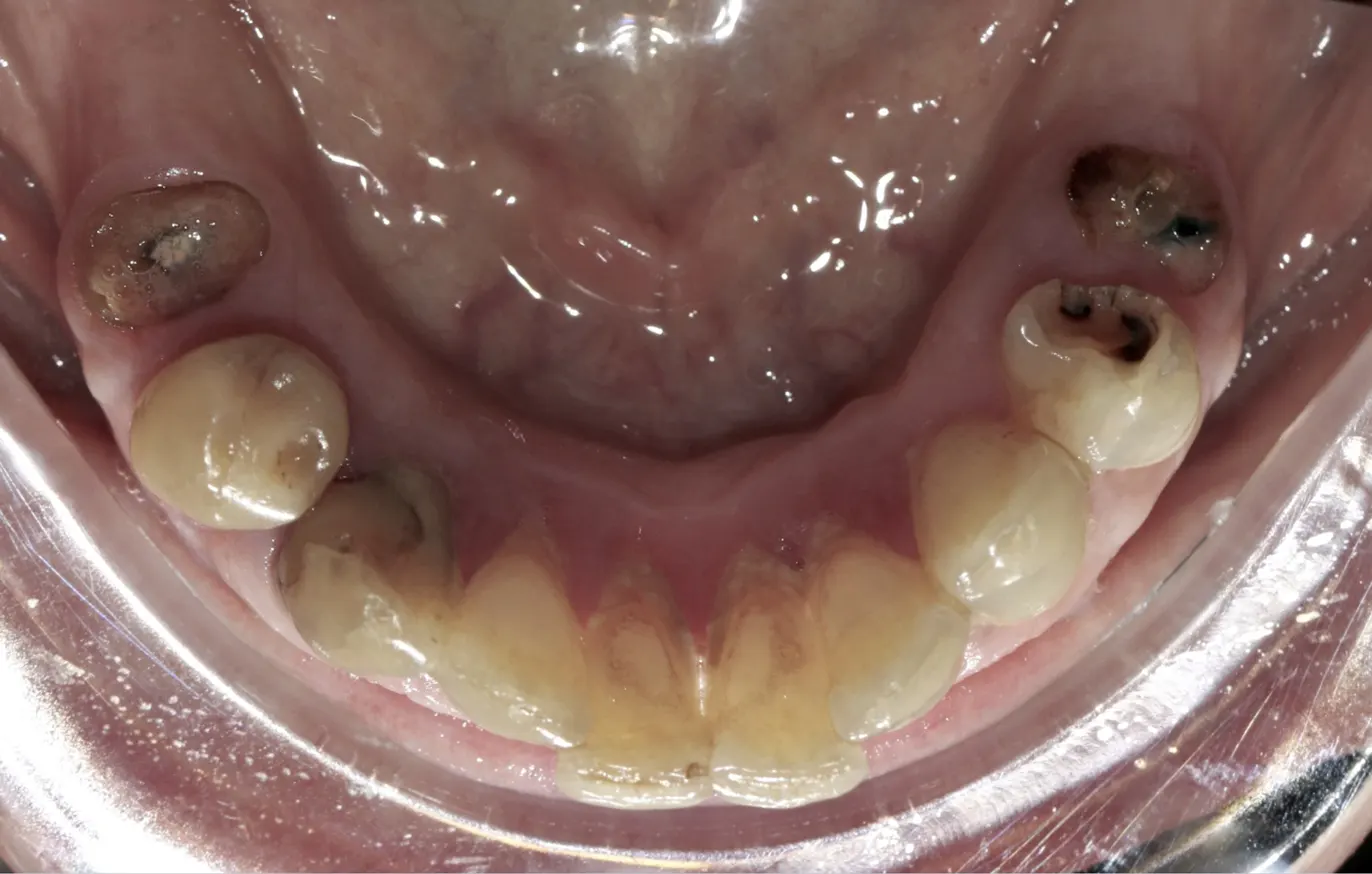
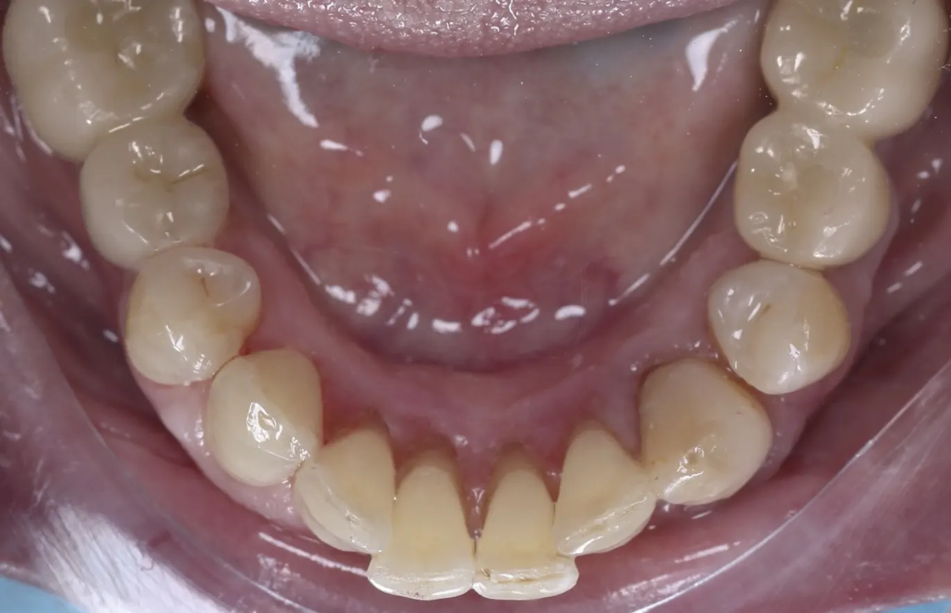
Лечение кариеса, имплантация и протезирование на имплантатах
8 посещений
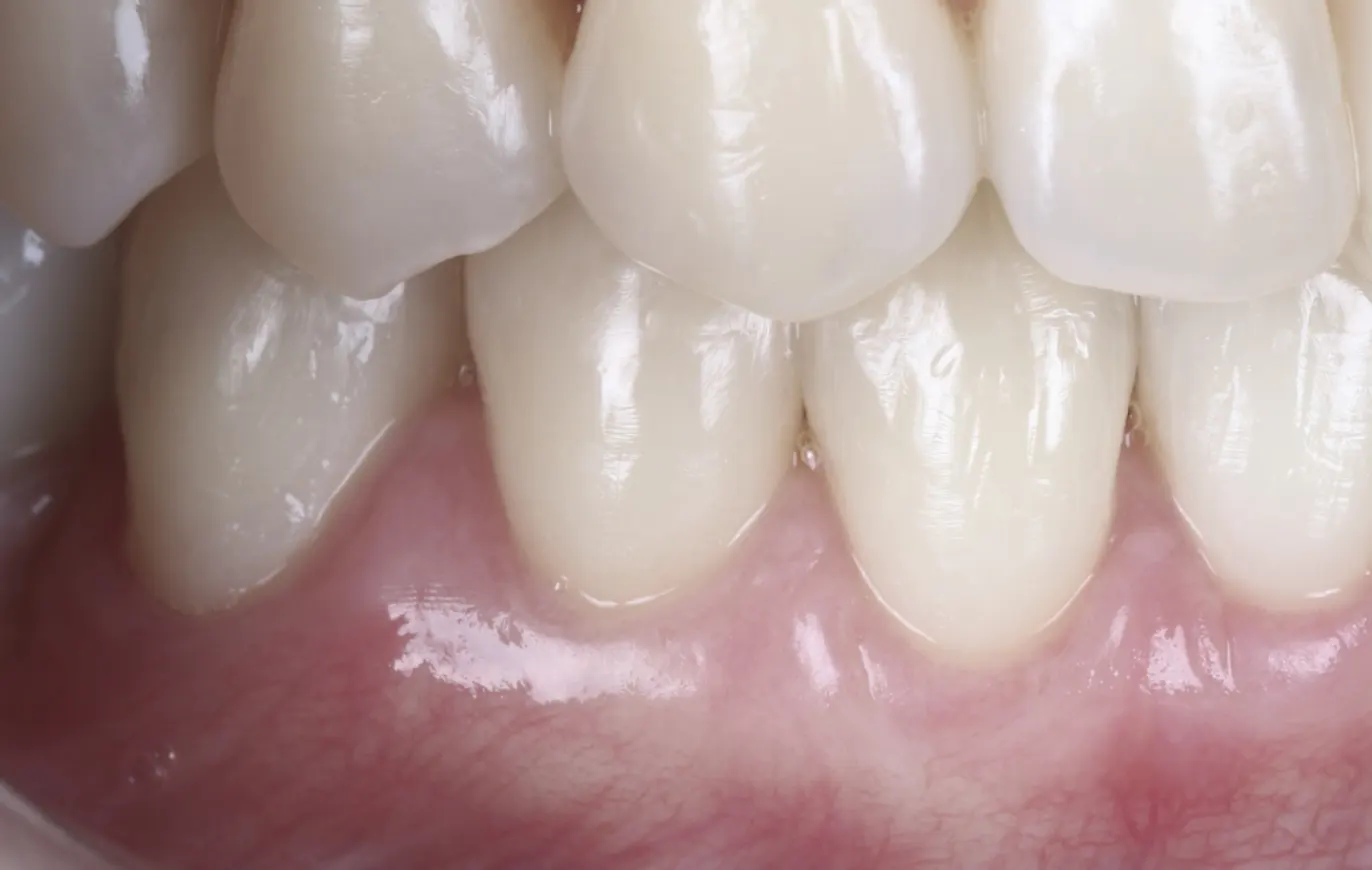
Пластика рецессии десны
1 посещение
Керамические реставрации и имплантация в зоне улыбки
6 посещений
Одиночная имплантация в зоне улыбки
4 посещения
Имплантация зубов с предварительным выравниванием зубного ряда
18 посещений

Экспертный блог

Экспертный блог
28.08.2025
Приживление имплантата: этапы, сроки, контроль
Установили имплант? Самое важное начинается после операции. Расскажем, как происходит приживление имплантата, как мы формируем идеальный контур десны и контролируем каждый этап. Полное руководство от хирурга-имплантолога MINIMALÍST, чтобы ваш путь к новой улыбке был спокойным и предсказуемым.
Получите консультацию специалиста, оставьте заявку или позвоните нам: +7 812 701-00-33
Нажимая на кнопку «Отправить», вы даёте согласие на обработку своих персональных данных
Мартиросян Армине Карленовна
Главный врач, ведущий стоматолог-ортопед